Élő Kolozsvári Rádió

Már nem csökken annyira a TBC-s esetek száma Romániában

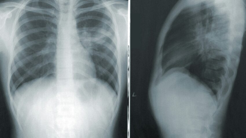
A tuberkulózis, azaz a TBC, a múlt évben szinte 1,25 millió áldozatot követelt és ezzel globális szinten az első számú halálos fertőző megbetegedésnek számít.

Már nem csökken annyira a TBC-s esetek száma Romániában

Szerkesztő: Sebők Tímea, 2025 november 14, 12:06

A tuberkulózis, azaz a TBC, a múlt évben 1 230 000  áldozatot követelt és ezzel globális szinten az első számú halálos fertőző megbetegedésnek számít – áll az Egészségügyi Világszervezet szerdai közleményében. Becslések szerint 2024-ben világszerte 10 700 000 ember fertőződött meg tuberkulózissal, amely elleni küzdelem finanszírozása 2020 óta nem változott. Tavaly világszinten 5,9 milliárd dollár állt rendelkezésre megelőzésre, diagnosztizálásra és kezelésre – ez jóval elmarad a 2027-ig évente szükségesnek becsült 22 milliárd dolláros összegtől – írja a közlemény.

Romániában hosszú ideig tendencia volt az esetek számbeli csökkenése, de az utóbbi két-három évben ez a csökkenés megállt – hívta fel a figyelmet rádióknak Dr. Szőcs Ottó háziorvos. A szakember kiemelte, hogy a tuberkulózis mindig is a társadalom peremén élők betegsége volt, és a velük való együttműködés mai napig nehézséget jelent; éppen ezért az egészségügynek elsősorban abban kellene fejlődnie, hogy hatékonyabban integrálja őket a kezelésekbe – azonban egy ilyen feladatot ellátó külön ügyosztály létrehozása anyagi szempontból túl nagy terhet jelent az egészségügyi hatóságnak.

Riporter: Biró László-Gergő

Etichete:
Rengeteg aktualizálásra váró Natura2000 terület van Romániában
Napirend kedd, 2025 december 22025 december 2, 17:33

Rengeteg aktualizálásra váró Natura2000 terület van Romániában

A környezetvédelmi tárca és a védett övezetek ügynöksége november folyamán 27 védett övezet menedzsmenttervét hagyta jóvá. Ezek...

Rengeteg aktualizálásra váró Natura2000 terület van Romániában
„A koalíció legnagyobb megvalósítása az, hogy még mindig működik”
Napirend kedd, 2025 december 22025 december 2, 15:30

„A koalíció legnagyobb megvalósítása az, hogy még mindig működik”

Az elmúlt félévet nagyrészt a költségvetési deficit csökkentéséért folytatott küzdelem határozta meg, amelyet a helyi és központi...

„A koalíció legnagyobb megvalósítása az, hogy még mindig működik”
Elkészül a méhnyakrák, vastagbélrák és mellrák országos szűrőjegyzéke
Napirend kedd, 2025 december 22025 december 2, 14:06

Elkészül a méhnyakrák, vastagbélrák és mellrák országos szűrőjegyzéke

Az egészségügyi tárca három országos szűrőjegyzék létesítését jelentette be: a méhnyakrák, vastagbélrák és mellrák regiszterét....

Elkészül a méhnyakrák, vastagbélrák és mellrák országos szűrőjegyzéke
Ünnepi készülődés Válaszúton
Napirend kedd, 2025 december 22025 december 2, 14:02

Ünnepi készülődés Válaszúton

Adventi foglalkozásokkal és kézműves vásárral hangolódik az ünnepekre a válaszúti Kallós Zoltán Alapítvány szombaton. A nap folyamán...

Ünnepi készülődés Válaszúton
Napirend kedd, 2025 december 22025 december 2, 09:48

Szolgálati autókat kapott a Romániai Evangélikus-Lutheránus Egyház

Hat új szolgálati gépkocsit kapott a Romániai Evangélikus-Lutheránus Egyház a szórványközösségekben szolgáló lelkipásztorok számára....

Szolgálati autókat kapott a Romániai Evangélikus-Lutheránus Egyház
Napirend péntek, 2025 november 282025 november 28, 15:59

Jön a fóliaadó?

Még függőben az intézkedés, amely értelmében jövő évtől megadózzák a melegházakat, silókat, gabonaraktárakat, mivel az ellenzék...

Jön a fóliaadó?
Napirend péntek, 2025 november 282025 november 28, 13:43

Sokakat fenyeget, kevesen tudnak erről a tüdőbetegségről

A krónikus obstruktív tüdőbetegség – a COPD – a felnőtt lakosság több mint 10%-át érinti világszerte. A szakemberek becslései...

Sokakat fenyeget, kevesen tudnak erről a tüdőbetegségről
Napirend péntek, 2025 november 282025 november 28, 10:03

Molnár H. Magor kapta idén a Kemény Zsigmond-díjat

Átadta az éves Kemény Zsigmond-díjat a Helikon Irodalmi Folyóirat. Az elismerést a marosvásárhelyi származású, Szegeden élő Molnár H....

Molnár H. Magor kapta idén a Kemény Zsigmond-díjat